2025-10-17
最新消息

分享

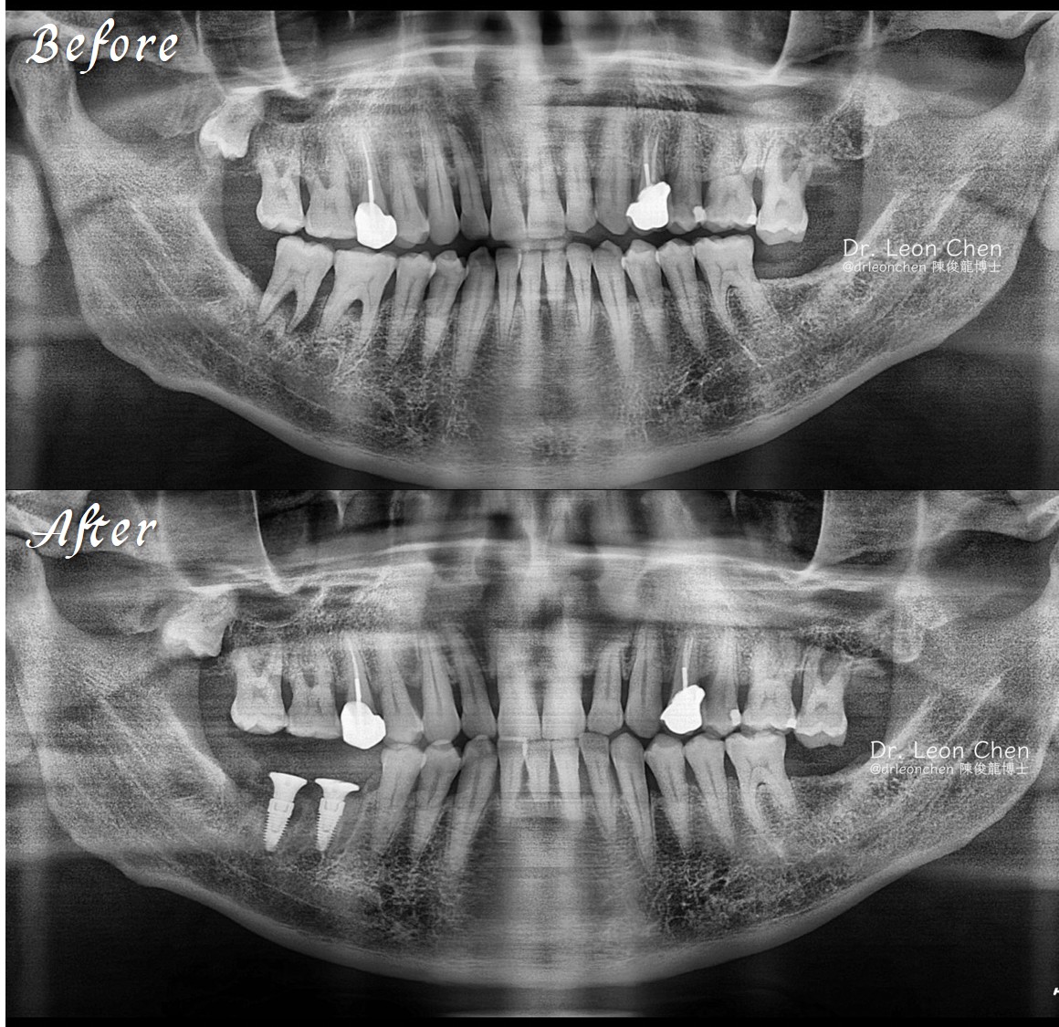
精奈創一鑽植牙系統團隊|糖尿病患者的植牙奇蹟

一位長期患有嚴重糖尿病、控制不佳的病人,過去21年曾到三間診所求診,但因高風險患者而被拒絕。
對真正需要治療的患者卻無法治療,「治病救人」本來是就是醫生的責任與醫德。

治療過程中一度緊張到幾乎要暈倒,但在陳博士的專業技術下以及團隊的安撫之下,病人不再害怕,成功完成植牙治療。
當天開心地照常上班,而後,也因為營養均衡了,患者的糖尿病也有明顯改善,還計畫著要處理其他牙齒問題。

陳博士有一套專為高風險患者設計的微創植牙流程,今年也將在微創直牙醫學會上分享這套Protocol。
他強調「工具對、流程對,才安全有效。」
陳博士始終堅持,治療應該以患者需求為優先,而非追求最貴或最先進設備。
真正的醫術,是讓每位患者重獲健康與生活品質。 ✨

「陳俊龍博士整套 LEONS Concept 精奈創一鑽植牙」技術,手術少、恢復快,當天就有臨時固定假牙,不需要停藥,適合各類患者,也沒有併發症。

 
 

 ※ 若需使用影像x光片作為文宣或廣告,請事先聯繫並取得同意,感謝您的尊重!

 
「陳俊龍博士整套 LEONS Concept 精奈創一鑽植牙」技術 
手術少,創傷小,恢復快!​
適合各類患者,無論是高齡患者、慢性病患者,甚至是骨質疏鬆患者,
沒有併發症;且不用停藥的情況下,可以接受治療。

如果您對一鑽™植牙有任何疑問或想要進一步了解,歡迎與我們聯繫,
我們將為您提供專業的建議與最適合的治療方案。

▌里昂哈佛仁愛牙醫診所 ▌
預約LINE:
@769rwgpt
預約專線:02-2325-2100
診所地址:台北市大安區仁愛路四段418號2樓