2026-01-07
最新消息

分享

精奈創一鑽植牙系統團隊|LEONS Concept 的全口重建

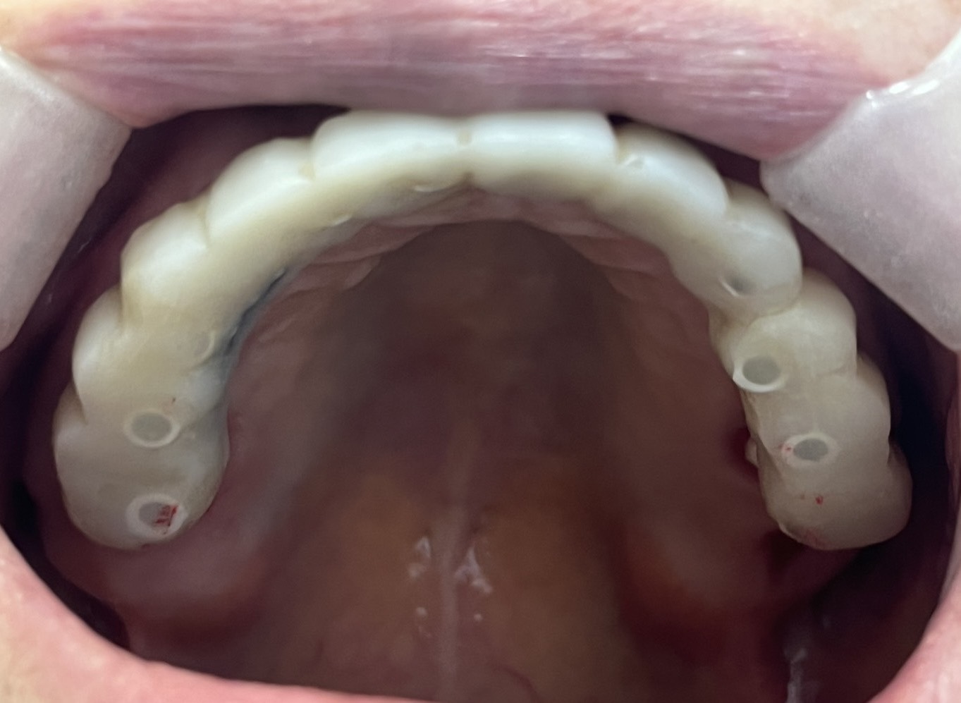
一位患者特地從外州飛到拉斯維加斯,評估後當天決定進行全口植牙。整個療程不到兩小時,即拔即植即固定臨時牙。

手術當天完成全口掃描,四個月後更換為最終固定假牙。這段期間,患者維持良好的生活品質,醫師也能安心照護,不用每天提心吊膽、接不完病患來電。

LEONS concept
不需要全身麻醉,或者是舒眠麻醉的情況之下,就完成與自然牙排列相仿全口重建。不用擔心歪斜長長的植體打到顴骨或眼睛。
精奈創:最安全、最有效率的植牙技術,醫師患者都很安心。
最重要的是,醫師患者的身心靈也都照顧得到了。


 



 

 ※ 若需使用影像作為文宣或廣告,請事先聯繫並取得同意,感謝您的尊重!


如果您對LEONS Concept/一鑽™植牙有任何疑問或想要進一步了解,歡迎與我們聯繫,
我們將為您提供專業的建議與最適合的治療方案。

▌里昂哈佛仁愛牙醫診所 ▌
預約LINE:
@769rwgpt
預約專線:02-2325-2100
診所地址:台北市大安區仁愛路四段418號2樓